CASE OF A 53/F CVA WITH LEFT SIDED HEMIPLEGIA WITH UNCONTROLLED SUGARS
This is an online e log book to discuss our patient de-identified health data shared after taking his / her / guardians signed informed consent. Here we discuss our individual patients problems through series of inputs from available global online community of experts with an aim to solve those patients clinical problem with collective current best evident based input.
This E blog also reflects my patient centered online learning portfolio and your valuable inputs on the comment box is welcome.
I have been given this case to solve in an attempt to understand the topic of " patient clinical data analysis" to develop my competency in reading and comprehending clinical data including history, clinical findings, investigations and come up with diagnosis and treatment plan.
CHIEF COMPLAINTS :
1.Fever since 10 days
2. Weakness of left upper limb and left lower limb since 2 days
3. Slurring of speech since 2 days
HISTORY OF PRESENT ILLNESS :
Patient was apparently asymptomatic 10 days back then she developed
Fever which is insidious in onset, low grade ,intermittent not associated with chills and rigor,rash,loose stools and vomitings, For which she went to a local RMP and took medications ,after which the fever was subsided
After 2 days of subsidence of fever
Day 16/08/2021
Patient after having dinner, went to sleep and complained of having pain in the left upper and left lower limb and slurring of speech at 1 pm (as noticed by the attenders).
Day 17/08/2021
Early morning after waking up she was alright and went to his sons house.In view of above complaints she had at night ,her son took her to a local rmp and there when he told her to walk, then she suddenly developed weakness of Left UL and Left LL and was not able to lift her Left UL & LL .She even didnt speak & didnt recognise the people around her and was unresponsive but she was in conscious state.she was found to be having high BP (systolic 200) and was managed conservatively for it with (tab enalapril 5 mg) and then the rmp referred her to a hospital in hyd.
She was referred to a hospital in hyd ,where she had undergone CT brain showing - age related cerebral atrophy and mild to moderate left maxillary and ethmoidal sinusitis. From there she was referred to kims nkp on 18/08/2021 at 2 pm.
10 years back due to some family issues she fell ill and went to hospital for routine checkup and was diagnosed of having TYPE 2 DM
She takes medications regularly since 10 years (Tab glimiperide & metformin 2mg+500 mg OD)
10 years back , while doing her daily routine work she suddenly had an syncopal attack with weakness,tingling sensation & numbness of lower limbs and was taken to hospital ,where her blood sugars were found to be high and was treated conservatively.There investigations were ordered and found to have low serum potassium levels and was adviced to use SYP POTKLOR (she used to take it whenever she have weakness of limbs) .
From then ,she had 5/6 similar attacks till now for which she was managed conservatively in a local hospital. And every time she was adviced to use syp potklor as her k+ levels are found be low.
She even use to have generalised body pains (since 10 yrs) occasionally from then , and used to take pain killers (?unknown) as prescribed by local dr occasionally.Pains used to subside after taking medications.
12 years back , she had infection of ear with ear discharge (? ASOM) ,for which she went to a local RMP and took medications (? Ear drops).since then she is having HEARING LOSS
15 years back she had tooth ache for which she consultated a rural ayurvedist, he had given medication (? Unknown).After a few days she gradually started losing her upper incisiors.
Patient was well built 30 years back, then after her daily routine was changed where she was devoted to god and used to eat once a day ,due to which she was gradually losing weight since then.
PAST HISTORY :
Known case of type 2 DM since 10 years (on tab glimiperide & metformin 2mg+500 mg OD)
She is not a K/C/O HTN, CAD, Asthama,thyroid disorders and epilepsy
FAMILY HISTORY :
No h/o DM, HTN, CAD, CVA, Asthama,TB, Thyroid disorders and Epilepsy in the family
PERSONAL HISTORY :
Diet - vegetarian
Sleep - Adequate
Appetite - Normal
Bowel.and bladder movements regular
No addictions
GENERAL EXAMINATION :
Patient is conscious but unresponsive
Thinly built and malnourished
No pallor, icterus, cyanosis,clubbing,koilonychia ,edema and lympadenopathy
VITALS AT ADMISSION :
GCS - E4V2M6
Temperature- Afebrile
Pulse rate - 92 bpm
Respiratory Rate - 17 cpm
BP-110/70 mmHg
SPO2 at room air- 98%
GRBS 120 mg/dl
SYSTEMIC EXAMINATION:
CARDIOVASCULAR SYSTEM :
Inspection :
Chest wall is bilaterally symmetrical.
No precordial bulge
No visible pulsations, engorged veins, scars, sinuses
Palpation :
JVP: normal
Apex beat: felt in the left 5th intercostal space in the mid clavicular line.
Auscultation :
S1, S2 heard , No murmurs
RESPIRATORY SYSTEM :
Position of trachea: central
Bilateral air entry +
Expiratory wheeze present in the left IMA
PER ABDOMEN :
Abdomen is soft, Nondistended and non tender.
No organomegaly.
Bowel sounds heard.
No palpable mass or fluid present
CENTRAL NERVOUS SYSTEM :
Patient is conscious
1. Higher mental functions
a) Appearance & behaviour - thin built , disoriented (at admission)
b) Level of consciousness - conscious
c) Cognitive functions
GCS - E4V2M6
- Memory & attention : not elicited
- Speech & language - No response (at presentation)
- MMSE : not elicited
2. Cranial nerves
1. Olfactory : Not elicited
2. Optic : visual acuity,Visual field,colour vision,reflexes : not elicited
3. Occulomotor, trochlear & abducent :
Pupils are reactive and normal
No ptosis & nystagmus
4. Trigeminal :
Sensory - not elicited
Motor - not elicited
Corneal reflex - present
Conjuctival reflex - present
7. Facial nerve :
Motor: nasolabial fold lost on left side, no deviation of mouth
Sensory: taste not elicited
Secretomotor moistness of eye and tongue normal, buccal mucosa normal
8. Vestibulocochlear - Rinnes & weber not elicited
9. Glossopharyngeal & Vagus : Gag not elicited, uvula was centrally placed
11. Spinal accessory :
Trapezieus not elicited
Sternocleidomastoid not elicited
12. Hypoglossal : no deviation of tongue, no wasting, no fibrillations.
3.Motor system
- Attitude & position : patient in supine position with left lower leg externally rotated
- Bulk : normal
- TONE:
Rt Lt
UL N hypotonia
LL N hypotonia
- POWER:
Rt Lt
UL 5/5 2/5
LL 5/5 2/5
- REFLEXES :
•Superficial Rt Lt
Corneal : +2 +2
Conjunctival : +2 +2
Abdominal : +2 +2
• Deep Rt Lt
Biceps : + Absent
Triceps : + Absent
Supinator : + Absent
Knee jerk : + +
Ankle jerk : + Absent
Plantar : flexor mute
4. Sensory system - not elicited
Pain present in all 4 limbs
5. Cerebellum
Titubation - absent
Nystagmus- absent
Intentional tremors - absent
Pendular knee jerk - absent
Coordination test not done
Co-ordination & gait - cant be elicited
6. No meningeal signs
INVESTIGATIONS
18/08/2021
CXR
HEMOGRAM
Hb - 12.9 gm/dl
Tc - 20,000 cells/cumm
Lymphocytes - 10
Neutrophils - 84
Plt - 5 lakhs/cumm
MCV - 78.1 fl
MCHC - 35 1%
RDW CV -14.3%
CUE
SERUM CREATININE
1.2 mg/dl
BLOOD UREA
51 mg/dl
SERUM ELECTROLYTES
Na 136 meq/l
K+ 2.3 meq/l
Cl- 95 meq/l
LFT
TB - 0.99 mg/dl
DB - 0.27 mg/dl
ALP - 321 IU/l
AST - 28 IU/L
ALT - 10 IU/L
Albumin 4.1 gm/dl
Total proteins - 8.7 gm/dl
URINE FOR KETONE BODIES
Negative
SERUM CALCIUM (normal)
GLYCATED Hb
6.9%
RBS
253 mg/dl
LIPID PROFILE
Total cholestrol-181 mg/dl
Triglycerides - 134 mg/dl
HDL - 47mg/dl
LDL - 82 mg/dl
VLDL- 26.8mg/dl
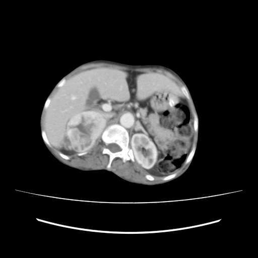
USG ABDOMEN
? Renal mass in the rt upper pole of kidney
? Adrenal mass
2D ECHO
EF - 58%
Sclerotic AV
19/08/2021
LIPID PROFILE
Total cholestrol 193 mg/dl
Triglycerides - 192 mg/dl
HDL cholestrol - 35 mg/dl
SERUM ELECTROLYTES
Na - 140 meq/l
K - 2.8 meq/l
Cl- 96 meq/l
URINARY ELECTROLYTES
Na - 188 mmol/l
K+ - 9.2 mmol/l
Cl- 236 mmol/l
ESR
85 mm/1st hour
21/08/2021
HEMOGRAM
Hb - 12.6 gm/dl
Tc - 20,700 cells/cumm
Neutrophils - 81 %
Lymphocytes - 12 %
Pcv - 35.3 %
MCV - 78.4 fl
RDW - CV 14.4%
MCHC - 35.7 %
Na - 132 meq/l
k - 3.0 meq/l
Cl- 91 meq/l
X RAY DORSAL SPINE - lateral view
USG ABDOMEN (Repeat)
24/08/21
Hemogram
Hb - 12.1 gm /dl
Tc - 19,900 cells/cumm
Neutrophils - 85%
Lymphocytes - 8%
Eosinophils - 1%
Monocytes - 6%
Basophils - 0%
Pcv - 34.3 vol %
Mcv - 78.7 fl
RDW - cv 14.1%
Rdw-sd 41 2 fl
Rbc - 4.36
Plt - 7.65 lakhs
Serum electrolytesNa - 129 meq/l
K - 2.7 meq/l
Cl - 94 meq/l
Serum creatinine
1.0 mg/dl
25/08/21
Na - 140 meq/l
k+ - 3.2 meq/l
Cl- 95 meq/l
PLAIN CT - ABDOMEN
26/08/21
24 hrs urinary electrolytes
Na - 374 mmol/day
K+ 47.6 mmol/day
Cl- 323 mmol/day
Blood c/s - no growth
29/08/21
CECT abdomen
MRI BRAIN
30/08/21
Serum electrolytes
Na - 130 meq/l
K+ 2.8 meq/l
Cl- 97 meq/l
31/08/21
Serum electrolytes
Na - 128 meq/l
K+ 2.9 meq/l
Cl- 92 meq/l
1/09/21
Serum electrolytes
Na - 125 meq/l
K+ 2.8 meq/l
Cl- 92 meq/l
2/08/21
Serum electrolytes
Na 130 meq/l
K 3.5 meq/l
Cl 90 meq/l
PROVISIONAL DIAGNOSIS
CVA WITH LEFT SIDED HEMIPLEGIA WITH UNCONTROLLED SUGARS & RECURRENT HYPOKALEMIA
(K/C/O TYPE2 DM since 10 years)
? CECT - MALIGNANT RIGHT ADRENAL MASS
FEVER CHARTING
TREATMENT :
Day 0
1. Inj ACTRAPID 6 U iv/stat
39 ml NS + 1 ml HAI @ 6ml/hr (continue till GRBS 250 mg/dl)
2. Inj KCL 2 Amp in 500 ml NS/slow iv over 6 hours
3. RT feeds - 200 ml milk 2nd hourly
Plain water 2nd hourly
4. Tab ECOSPIRIN 75 mg/PO/OD
5. Tab CLOPITAB 75 mg/PO/OD
6. Tab ATORVASTATIN 20 mg/PO/OD
7. GRBS 2nd hourly
Ryles tube inserted
Foleys catheterisation done
Day 1 :
SOAP NOTES
SUBJECTIVE:
Weakness of Left UL & LL
Speech - responsive (no slurring)
OBJECTIVE:
GCS - E4V5M6
Temperature - Afebrile
Bp - 140/80 mm hg
PR - 88 bpm
RR - 16 cpm
SpO2 at room air - 99%
GRBS - mg/dl
Serum K+ - 2.3 meq/l
ASSESSMENT:
? CVA with left sided hemiplegia with Uncontrolled sugars
(K/C/O Type 2 DM since 10 years)
PLAN OF CARE:
1. RT feeds - 200 ml milk 2nd hourly with protein powder
100 ml Plain water 1 hourly
2. Inj ACTRAPID S/C after monitoring GRBS
3. Tab ECOSPIRIN 75 mg/RT/OD
5. Tab CLOPIDOGREL 75 mg/RT/OD
6. Tab ATORVASTATIN 20 mg/RT/OD
7. GRBS monitoring 6th hourly
8. Physiotherapy of left upper and lower limb
CNS: Conscious & oriented to time ,place and person
TONE:
Rt Lt
UL N hypotonia
LL N hypotonia
- POWER:
Rt Lt
UL 4+/5 2/5
LL 4+/5 2/5
- REFLEXES :
•Superficial Rt Lt
Corneal : +2 +2
Conjunctival : +2 +2
Abdominal : +2 +2
• Deep Rt Lt
Biceps : +2 1+
Triceps : - -
Supinator : - -
Knee jerk : +2 +1
Ankle jerk : - -
Plantar : flexor mute
Day 2
SOAP NOTES :
SUBJECTIVE:
C/o Weakness of left UL & LL
Back pain
OBJECTIVE:
GCS - E4V5M6
Temperature - Afebrile
Bp - 120/80 mm hg
PR - 100 bpm
RR - 16 cpm
SpO2 at room air - 99%
GRBS - 346 mg/dl
Serum K+ - 2.8 meq/l
ASSESSMENT:
? CVA with left sided hemiplegia with Uncontrolled sugars
(K/C/O Type 2 DM since 10 years)
? Renal mass noted in right upper pole of kidney
? Adrenal mass
PLAN OF CARE:
1. RT feeds - 200 ml milk 2nd hourly with protein powder
100 ml Plain water 1 hourly
2. Inj ACTRAPID S/C after monitoring GRBS
3. Tab ECOSPIRIN 75 mg/RT/OD
5. Tab CLOPIDOGREL 75 mg/RT/OD
6. Tab ATORVASTATIN 20 mg/RT/OD
7. Nebulisation with DUOLIN & BUDECORT given
8. SYP ASCORIL LS /10ml/TID
9. GRBS monitoring 6th hourly
10. Physiotherapy of left upper and lower limb
CNS: Conscious &oriented to time,place,person
TONE:
Rt. Lt
UL N hypotonia
LL N hypotonia
- POWER:
Rt Lt
UL 5/5 2/5
LL 5/5 2/5
- REFLEXES :
•Superficial Rt Lt
Corneal : +2 +2
Conjunctival : +2 +2
Abdominal : +2 +2
• Deep Rt Lt
Biceps : +2 -
Triceps : +2 +1
Supinator : +2 +2
Knee jerk : +2 +2
Ankle jerk : - -
Plantar : withdrawl mute
DAY 3
SUBJECTIVE:
C/o Weakness of left UL & LL
Back pain
Headache
OBJECTIVE:
GCS - E4V5M6
Temperature - Afebrile
Bp - 140/80 mm hg
PR - 92 bpm
RR - 16 cpm
SpO2 at room air - 99%
GRBS - 276 mg/dl
ASSESSMENT:
? CVA with left sided hemiplegia with Uncontrolled sugars
(K/C/O Type 2 DM since 10 years)
? Renal mass noted in right upper pole of kidney
PLAN OF CARE:
1. RT feeds - 200 ml milk 2nd hourly with protein powder
100 ml Plain water 1 hourly
2. Inj ACTRAPID S/C after monitoring GRBS
3. Tab ECOSPIRIN 75 mg/RT/OD
5. Tab CLOPIDOGREL 75 mg/RT/OD
6. Tab ATORVASTATIN 20 mg/RT/OD
7. Nebulisation with DUOLIN TID & BUDECORT /BD
8. SYP ASCORIL LS /10ml/TID
9. SYP LACTULOSE 10 ml/HS
10. GRBS monitoring 6th hourly
11. Physiotherapy of left upper and lower limb
CNS: Conscious & oriented to time, place, person
TONE:
Rt. Lt
UL N hypotonia
LL N hypotonia
- POWER:
Rt Lt
UL 5/5 2/5
LL 5/5 2/5
- REFLEXES :
•Superficial Rt Lt
Corneal : +2 +2
Conjunctival : +2 +2
Abdominal : +2 +2
• Deep Rt Lt
Biceps : +3 +2
Triceps : +3 +2
Supinator : +3 +2
Knee jerk : +3 +2
Ankle jerk : - -
Plantar : withdrawl mute
DAY 4
SUBJECTIVE:
C/o Weakness of left UL & LL
New complaints
Headache
Shortness of breath
Chest pain
OBJECTIVE:
GCS - E4V5M6
Temperature - Afebrile
Bp - 120/70 mm hg
PR - 96 bpm
RR - 18 cpm
SpO2 at room air - 99%
GRBS - 208 mg/dl
Serum k+ (3.0 meq/l)
ASSESSMENT:
? CVA with left sided hemiplegia with Uncontrolled sugars
(K/C/O Type 2 DM since 10 years)
? Renal mass noted in right upper pole of kidney
PLAN OF CARE:
1. RT feeds - 200 ml milk 2nd hourly with protein powder
100 ml Plain water 1 hourly
2. Inj ACTRAPID S/C after monitoring GRBS
3. Tab ECOSPIRIN 75 mg/RT/OD
5. Tab CLOPIDOGREL 75 mg/RT/OD
6. Tab ATORVASTATIN 20 mg/RT/OD
7. Nebulisation with DUOLIN TID & BUDECORT /BD
8. SYP ASCORIL LS /10ml/TID
9. SYP LACTULOSE 10 ml/HS
10. GRBS monitoring 6th hourly
11. Physiotherapy of left upper and lower limb
CNS :
CNS: Conscious & oriented to time,place & person
TONE:
Rt. Lt
UL. N hypotonia
LL. N. hypotonia
- POWER:
Rt. Lt
UL. 5/5. 2/5
LL. 5/5. 2/5
- REFLEXES :
•Superficial Rt. Lt
Corneal : +2. +2
Conjunctival : +2 +2
Abdominal : +2 +2
• Deep. Rt. Lt
Biceps : +3 +2
Triceps : +3. +2
Supinator : +3. +2
Knee jerk : +3 +2
Ankle jerk : - -
Plantar : withdrawl mute
DAY 5
SUBJECTIVE:
C/o Weakness of left UL & LL
New complaints
Headache
Shortness of breath
Chest pain
OBJECTIVE:
GCS - E4V5M6
Temperature - Afebrile
Bp - 120/70 mm hg
PR - 96 bpm
RR - 18 cpm
SpO2 at room air - 99%
GRBS - 208 mg/dl
ASSESSMENT:
? CVA with left sided hemiplegia with Uncontrolled sugars
(K/C/O Type 2 DM since 10 years)
? Renal mass noted in right upper pole of kidney
PLAN OF CARE:
1. RT feeds - 200 ml milk 2nd hourly with protein powder
100 ml Plain water 1 hourly
2. Inj ACTRAPID S/C after monitoring GRBS
3. Tab ECOSPIRIN 75 mg/RT/OD
5. Tab CLOPIDOGREL 75 mg/RT/OD
6. Tab ATORVASTATIN 20 mg/RT/OD
7. Nebulisation with DUOLIN TID & BUDECORT /BD
8. SYP ASCORIL LS /10ml/TID
9. SYP LACTULOSE 10 ml/HS
10. GRBS monitoring 6th hourly
11. Physiotherapy of left upper and lower limb
CNS: Conscious & oriented to time ,place, person
TONE:
Rt. Lt
UL . N. hypotonia
LL. N. hypotonia
- POWER:
Rt. Lt
UL. 5/5. 2/5
LL. 5/5. 2/5
- REFLEXES :
•Superficial Rt. Lt
Corneal : +2. +2
Conjunctival : +2. +2
Abdominal : +2. +2
• Deep. Rt. Lt
Biceps : +3. +2
Triceps : +3. +2
Supinator : +3. +2
Knee jerk : +3. +2
Ankle jerk : - -
Plantar : withdrawl mute
DAY 6
SUBJECTIVE:
C/o Weakness of left UL & LL
Generalised body pains
OBJECTIVE:
GCS - E4V5M6
Temperature - Afebrile
Bp - 150/70 mm hg
PR - 82 bpm
RR - 16 cpm
SpO2 at room air - 99%
GRBS - 75 mg/dl
Serum k+ (2.7 meq/l)
ASSESSMENT:
? CVA with left sided hemiplegia with Uncontrolled sugars
(K/C/O Type 2 DM since 10 years)
? Renal mass noted in right upper pole of kidney
PLAN OF CARE:
1. RT feeds - 200 ml milk 2nd hourly with protein powder
100 ml Plain water 1 hourly
2. Inj ACTRAPID S/C after monitoring GRBS
3. Tab ECOSPIRIN 75 mg/RT/OD
5. Tab CLOPIDOGREL 75 mg/RT/OD
6. Tab ATORVASTATIN 20 mg/RT/OD
7. Nebulisation with DUOLIN/TID & BUDECORT /BD
8. SYP ASCORIL LS /10ml/TID
9. SYP LACTULOSE 10 ml/HS
10. KCL 2 Amp in 500 ml NS @ 100ml/hr
11. GRBS monitoring 6th hourly
12. Physiotherapy of left upper and lower limb
CNS: Conscious and oriented to time,place and person
TONE:
Rt. Lt
UL. N. hypotonia
LL. N. hypotonia
- POWER:
Rt. Lt
UL. 5/5. 2/5
LL. 5/5. 2/5
- REFLEXES :
•Superficial. Rt. Lt
Corneal : +2. +2
Conjunctival : +2. +2
Abdominal : +2. +2
• Deep. Rt. Lt
Biceps : +3. +2
Triceps : +3. +2
Supinator : +3. +2
Knee jerk : +3. +2
Ankle jerk : - -
Plantar : withdrawl. mute
DAY 7
SOAP NOTES
SUBJECTIVE:
C/o Weakness of left UL & LL
Generalised body pains (relieved)
OBJECTIVE:
GCS - E4V5M6
Temperature - Afebrile
Bp - 150/100 mm hg
PR - 90 bpm
RR - 16 cpm
SpO2 at room air - 99%
GRBS - 266 mg/dl
Serum k+ (3.2 meq/l)
ASSESSMENT:
? CVA with left sided hemiplegia with Uncontrolled sugars
(K/C/O Type 2 DM since 10 years)
? Renal mass noted in right upper pole of kidney
PLAN OF CARE:
1. RT feeds - 200 ml milk 2nd hourly with protein powder
100 ml Plain water 1 hourly
2. Inj ACTRAPID S/C after monitoring GRBS
3. Tab ECOSPIRIN 75 mg/RT/OD
5. Tab CLOPIDOGREL 75 mg/RT/OD
6. Tab ATORVASTATIN 20 mg/RT/OD
7. Nebulisation with DUOLIN/TID & BUDECORT /BD
8. SYP ASCORIL LS /10ml/TID
9. SYP LACTULOSE 10 ml/HS
10. GRBS monitoring 6th hourly
11. Physiotherapy of left upper and lower limb
CNS: Conscious and oriented to time,place and person
TONE:
Rt. Lt
UL. N. hypotonia
LL. N. hypotonia
- POWER:
Rt. Lt
UL. 5/5. 2/5
LL. 5/5. 2/5
- REFLEXES :
•Superficial. Rt. Lt
Corneal : +2. +2
Conjunctival : +2. +2
Abdominal : +2. +2
• Deep. Rt. Lt
Biceps : +3. +2
Triceps : +3. +2
Supinator : +3. +2
Knee jerk : +3. +2
Ankle jerk : - -
Plantar : withdrawl. mute
DAY 8 :
SOAP NOTES
SUBJECTIVE:
C/o Weakness of left UL & LL
OBJECTIVE:
GCS - E4V5M6
Temperature - Afebrile
Bp - 120/80 mm hg
PR - 90 bpm
RR - 16 cpm
SpO2 at room air - 99%
GRBS - 306 mg/dl
ASSESSMENT:
? CVA with left sided hemiplegia with Uncontrolled sugars
(K/C/O Type 2 DM since 10 years)
? Renal mass noted in right upper pole of kidney
PLAN OF CARE:
1. RT feeds - 200 ml milk 2nd hourly with protein powder
100 ml Plain water 1 hourly
2. Inj ACTRAPID S/C after monitoring GRBS
3. Tab ECOSPIRIN 75 mg/RT/OD
5. Tab CLOPIDOGREL 75 mg/RT/OD
6. Tab ATORVASTATIN 20 mg/RT/OD
7. Nebulisation with DUOLIN/TID & BUDECORT /BD
8. SYP ASCORIL LS /10ml/TID
9. SYP LACTULOSE 10 ml/HS
10. GRBS monitoring 6th hourly
11. Physiotherapy of left upper and lower limb
CNS: Conscious and oriented to time,place and person
TONE:
Rt. Lt
UL. N. hypotonia
LL. N. hypotonia
- POWER:
Rt. Lt
UL. 5/5. 2/5
LL. 5/5. 2/5
- REFLEXES :
•Superficial. Rt. Lt
Corneal : +2. +2
Conjunctival : +2. +2
Abdominal : +2. +2
• Deep. Rt. Lt
Biceps : +3. +2
Triceps : +3. +2
Supinator : +3. +2
Knee jerk : +3. +2
Ankle jerk : - -
Plantar : withdrawl. mute
DAY 9:
SOAP NOTES
SUBJECTIVE:
C/o Weakness of left UL & LL
OBJECTIVE:
GCS - E4V5M6
Temperature - Afebrile
Bp - 130/80 mm hg
PR - 90 bpm
RR - 16 cpm
SpO2 at room air - 99%
GRBS - 350 mg/dl
ASSESSMENT:
? CVA with left sided hemiplegia with Uncontrolled sugars
(K/C/O Type 2 DM since 10 years)
? Renal mass noted in right upper pole of kidney
PLAN OF CARE:
1. RT feeds - 200 ml milk 2nd hourly with protein powder
100 ml Plain water 1 hourly
2. Inj ACTRAPID S/C after monitoring GRBS
3. Tab ECOSPIRIN 75 mg/RT/OD
5. Tab CLOPIDOGREL 75 mg/RT/OD
6. Tab ATORVASTATIN 20 mg/RT/OD
7. Nebulisation with DUOLIN/TID & BUDECORT /BD
8. SYP ASCORIL LS /10ml/TID
9. SYP LACTULOSE 10 ml/HS
10. GRBS monitoring 6th hourly
11. Physiotherapy of left upper and lower limb
CNS: Conscious and oriented to time,place and person
TONE:
Rt. Lt
UL. N. hypotonia
LL. N. hypotonia
- POWER:
Rt. Lt
UL. 5/5. 2/5
LL. 5/5. 2/5
- REFLEXES :
•Superficial. Rt. Lt
Corneal : +2. +2
Conjunctival : +2. +2
Abdominal : +2. +2
• Deep. Rt. Lt
Biceps : +2 +2
Triceps : +2 +2
Supinator : +3. +2
Knee jerk : +3. +2
Ankle jerk : - -
Plantar : withdrawl. mute
DAY 10
SOAP NOTES
SUBJECTIVE:
C/o Weakness of left UL & LL
OBJECTIVE:
GCS - E4V5M6
Temperature - Afebrile
Bp - 140/90 mm hg
PR - 96 bpm
RR - 16 cpm
SpO2 at room air - 99%
GRBS - 168 mg/dl
ASSESSMENT:
? CVA with left sided hemiplegia with Uncontrolled sugars
(K/C/O Type 2 DM since 10 years)
? Renal mass noted in right upper pole of kidney
PLAN OF CARE:
1. RT feeds - 200 ml milk 2nd hourly with protein powder
100 ml Plain water 1 hourly
2. Inj ACTRAPID S/C after monitoring GRBS
3. Tab ECOSPIRIN 75 mg/RT/OD
5. Tab CLOPIDOGREL 75 mg/RT/OD
6. Tab ATORVASTATIN 20 mg/RT/OD
7. Nebulisation with DUOLIN/TID & BUDECORT /BD
8. SYP ASCORIL LS /10ml/TID
9. SYP LACTULOSE 10 ml/HS
10. GRBS monitoring 6th hourly
11. Physiotherapy of left upper and lower limb
CNS: Conscious and oriented to time,place and person
TONE:
Rt. Lt
UL. N. hypotonia
LL. N. hypotonia
- POWER:
Rt. Lt
UL. 5/5. 2/5
LL. 5/5. 2/5
- REFLEXES :
•Superficial. Rt. Lt
Corneal : +2. +2
Conjunctival : +2. +2
Abdominal : +2. +2
• Deep. Rt. Lt
Biceps : +2 +2
Triceps : +2 +2
Supinator : +3. +2
Knee jerk : +3. +2
Ankle jerk : - -
Plantar : withdrawl. mute
DAY 11
SOAP NOTES
SUBJECTIVE:
C/o Weakness of left UL & LL
OBJECTIVE:
GCS - E4V5M6
Temperature - Afebrile
Bp - 130/80 mm hg
PR - 96 bpm
RR - 16 cpm
SpO2 at room air - 99%
GRBS - 382 mg/dl
Sr potassium - 2.8 meq/l
ASSESSMENT:
? CVA with left sided hemiplegia with Uncontrolled sugars
(K/C/O Type 2 DM since 10 years)
CECT - Malignant right adrenal mass
PLAN OF CARE:
1. RT feeds - 200 ml milk 2nd hourly with protein powder
100 ml Plain water 1 hourly
2. Inj ACTRAPID S/C after monitoring GRBS
3. Tab ECOSPIRIN 75 mg/RT/OD
5. Tab CLOPIDOGREL 75 mg/RT/OD
6. Tab ATORVASTATIN 20 mg/RT/OD
7. Nebulisation with DUOLIN/TID & BUDECORT /BD
8. SYP ASCORIL LS /10ml/TID
9. SYP LACTULOSE 10 ml/HS
10. GRBS monitoring 6th hourly
11. Physiotherapy of left upper and lower limb
12. 1 amp of KCL in 100 ml ns over 6 hrs slowly
DAY 12
SOAP NOTES
SUBJECTIVE:
C/o Weakness of left UL & LL
OBJECTIVE:
GCS - E4V5M6
Temperature - Afebrile
Bp - 140/90 mm hg
PR - 99 bpm
RR - 16 cpm
SpO2 at room air - 99%
GRBS - 420 mg/dl
Sr potassium - 2.9 meq/l
ASSESSMENT:
? CVA with left sided hemiplegia with Uncontrolled sugars
(K/C/O Type 2 DM since 10 years)
CECT - Malignant right adrenal mass
PLAN OF CARE:
1. RT feeds - 200 ml milk 2nd hourly with protein powder
100 ml Plain water 1 hourly
2. Inj ACTRAPID S/C after monitoring GRBS
3. Tab ECOSPIRIN 75 mg/RT/OD
5. Tab CLOPIDOGREL 75 mg/RT/OD
6. Tab ATORVASTATIN 20 mg/RT/OD
7. Nebulisation with DUOLIN/TID & BUDECORT /BD
8. SYP ASCORIL LS /10ml/TID
9. GRBS monitoring 6th hourly
10. Physiotherapy of left upper and lower limb
11. 1 amp of KCL in 100 ml ns over 6 hrs slowly
DAY 13
SOAP NOTES
SUBJECTIVE:
C/o Weakness of left UL & LL
OBJECTIVE:
GCS - E4V5M6
Temperature - Afebrile
Bp - 150/90 mm hg
PR - 102 bpm
RR - 16 cpm
SpO2 at room air - 99%
GRBS - 406 mg/dl
Sr potassium - 2.8 meq/l
ASSESSMENT:
? CVA with left sided hemiplegia with Uncontrolled sugars
(K/C/O Type 2 DM since 10 years)
CECT - Malignant right adrenal mass
PLAN OF CARE:
1. RT feeds - 200 ml milk 2nd hourly with protein powder
100 ml Plain water 1 hourly
2. Inj ACTRAPID S/C after monitoring GRBS
3. Tab ECOSPIRIN 75 mg/RT/OD
5. Tab CLOPIDOGREL 75 mg/RT/OD
6. Tab ATORVASTATIN 20 mg/RT/OD
7. Nebulisation with DUOLIN/TID & BUDECORT /BD
8. SYP ASCORIL LS /10ml/TID
9. GRBS monitoring 6th hourly
10. Physiotherapy of left upper and lower limb
11. 2 amp of KCL & 1 amp magnesium in 100 ml ns over 6 hrs slowly
DAY 14
SOAP NOTES
SUBJECTIVE:
C/o Weakness of left UL & LL
OBJECTIVE:
GCS - E4V5M6
Temperature - Afebrile
Bp - 160/100 mm hg
PR - 110 bpm
RR - 16 cpm
SpO2 at room air - 99%
GRBS - 67 mg/dl
Sr potassium - 3.5 meq/l
ASSESSMENT:
? CVA with left sided hemiplegia with Uncontrolled sugars
(K/C/O Type 2 DM since 10 years)
CECT - Malignant right adrenal mass
PLAN OF CARE:
1. RT feeds - 200 ml milk 2nd hourly with protein powder
100 ml Plain water 1 hourly
2. Inj ACTRAPID S/C after monitoring GRBS
3. Tab ECOSPIRIN 75 mg/RT/OD
5. Tab CLOPIDOGREL 75 mg/RT/OD
6. Tab ATORVASTATIN 20 mg/RT/OD
7. Nebulisation with DUOLIN/TID & BUDECORT /BD
8. SYP ASCORIL LS /10ml/TID
9. GRBS monitoring 6th hourly
10. Physiotherapy of left upper and lower limb

















Comments
Post a Comment